モニター募集中!
ベーシック
プラン
※歯肉形成、歯列矯正、その他治療は価格に含まれません。スタンダード、プレミアム、歯列矯正を含むモニターは無料オンラインカウンセリング時にお問い合わせください。
ラミネートべニアで
奥歯までフルカバー
全く新しい発想の
セラミック治療です
※実用新案登録済み
こんな方におすすめ
Why Habulous? Habulousが選ばれる理由
| Habulousの ラミネートベニア |
一般的な ラミネートベニア |
|
| 歯を削らない | ◎ | ┼ |
| 奥歯まで対応できる | ◎ | ┼ |
| 低価格で高品質な セラミックをご提供 |
◎ | △ |
| 2〜3回の来院で終了 | ○ | △ |
| 天然歯に近い白さと 透明感を再現できる |
○ | ○ |
※あくまで一般的な条件での比較をしています。
料金プラン
下の奥歯までフルカバースタンダードプラン
大きく笑った時に見える奥歯の内側もセラミックにするプランです。
2分割のセパレートタイプのラミネートベニアを使用します。(全28歯対応)
自分好みに選べるオーダーメイドプラン
1本単位からオーダー可能です。
歯の色・透明感・形・角度など、お客様のご要望を元に作製します。
歯並びを整えてから歯列矯正プラン
削らないラミネートベニアが適応しない方は、マウスピース矯正
もしくはワイヤーでの歯列矯正を行うことで適応が可能となり
矯正後にラミネートベニアを装着する事で、さらにキレイな歯並びになります。
矯正のみも承っております。
弊社はマウスピース矯正でも2つの実用新案を取得しております。
モニター募集中!
※歯肉形成、歯列矯正、その他治療は価格に含まれません。歯列矯正のモニターは無料オンラインカウンセリング時にお問い合わせください。
症例
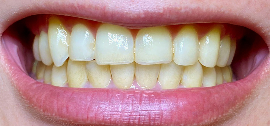
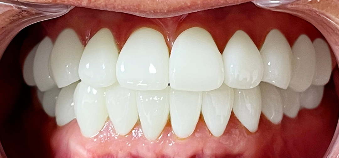
芸能人のような白い歯にしたい!
タッチして左右にスライド
- 治療期間:
- 2ヶ月
- 来院回数:
- 2回
- 総額:
- 210万円(税込)
歯を削らないラミネートべニアで、歯の色と形を整えた症例。
※削らないラミネートべニアは既存の歯よりも少し大きくなります。極端に強い力が加わると破折や脱離する場合がございます。
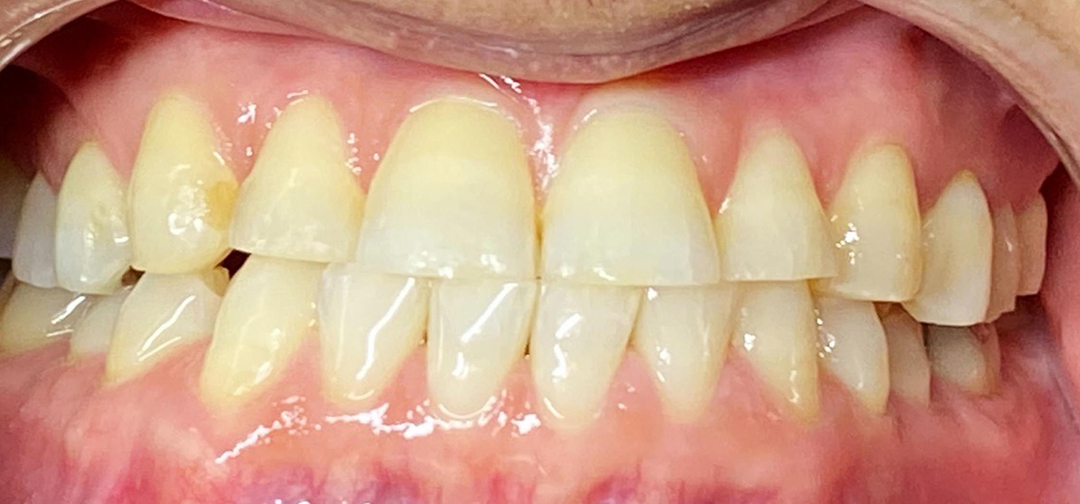
すり減った歯をきれいにしたい!
- 治療期間:
- 2ヶ月
- 来院回数:
- 2回
- 総額:
- 165万円(税込)
歯を削らないラミネートべニアで、歯の色と形を整えた症例。
※削らないラミネートべニアは既存の歯よりも少し大きくなります。極端に強い力が加わると破折や脱離する場合がございます。
※クラウン・ラミネートベニアは極端に強い力が加わると割れたり外れたりするリスクがございます。
※口元のビフォーアフター写真をご提供いただける方には6ヶ月間の保証(脱離保証)をいたします。外れた歯のパーツが割れていない事が条件となり、破折もしくは紛失した場合は保証外となります。
治療の流れ
無料のオンライン相談
LINEのトークもしくはビデオ通話でオンラインカウンセリング。ご不明点や不安なこと、お気軽にご相談ください。
歯科医院での本診断、契約
お客さまの歯並びや咬合わせなどを診断し、具体的な治療計画を提案していきます。
※本診断には、初診料がかかります。
※その場で契約の判断をいただく必要はございません。尚、当日中にご判断いただき契約することも可能です。
歯型の採取
歯をクリーニングした後に歯型の採取をいたします。契約後に時間があれば同日に行う事も可能です。
ラミネートベニアの作製
採取した歯型を元にラミネートベニアを作製します。この時にラミネートベニアの色や透明度を決めます。
※作製期間は、最短2週間から最大2ヶ月くらいになります。
ラミネートベニアの装着
歯をクリーニングした後に完成したラミネートベニアを貼り付けます。
最後に微調整をして完了です。装着後の定期的なメンテナンス、サポートもいたします。
よくあるご質問
どのような歯並びでも、可能ですか?
ラミネートベニアに適応しない方は、マウスピース矯正、もしくはワイヤー矯正後にラミネートベニアの装着を推奨しております。
場合によっては歯列矯正をせずに、ラミネートベニアを装着することも可能です。
素材はなんですか?
使用する素材は、ジルコニアセラミックです。 ジルコニアは、人工ダイヤモンドとも呼ばれています。強度と耐久性にも優れており、芸能人のような真っ白な色から天然歯に近い色まで幅広くお選びいただけます。
治療完了まで、どのくらいかかりますか?
最短で2回の来院で治療が完了いたします。
ベーシックプランでは約2ヶ月ほどで治療が完了いたします。とにかく早くキレイな歯にしたい方におすすめです。
※治療期間や金額に歯肉形成、歯列矯正、その他治療は含まれておりません。
金属アレルギーのリスクはありますか?
金属を一切使用していないため、金属アレルギーのリスクはございません。
決済方法を教えてください。
現金もしくはカード払い、デンタルローン、各種ローンがご利用いただけます。一部を現金で支払い、残りの金額をカード払いや各種ローンで支払う事も可能です。
※ローンには審査が必要となります。
